Symptoms | Causes | Prevention | Risk Factors
What are the Symptoms of Osteoarthritis?
Joint Stiffness

Common symptoms include stiffness of the joints, particularly in the morning or after inactivity
Pain & Tenderness

Movement becomes painful, and joints may be tender to the touch
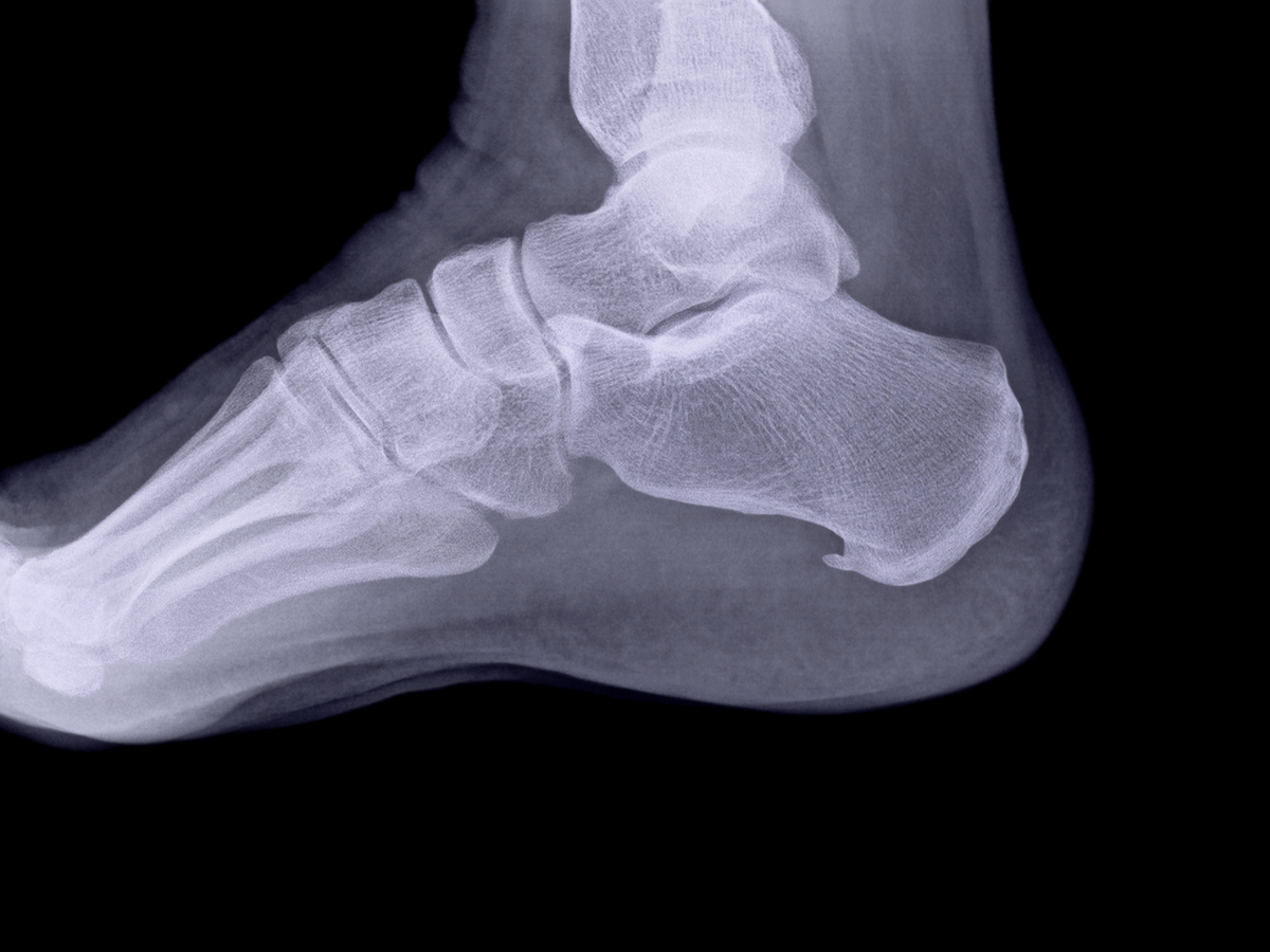
Bone Spurs

Osteoarthritis often leads to extra pieces of bone forming around the affected joints
What Causes Osteoarthritis?
Osteoarthritis occurs when the cartilage that cushions and protects the bones breaks down. This cartilage normally prevents bones from rubbing against one another, but over time it can deteriorate. Contributing factors may include aging, prior injuries, or an extremely active lifestyle that places repetitive strain on joints.
Preventing Osteoarthritis
While osteoarthritis cannot always be avoided, there are ways to reduce risk:
- Maintain a healthy weight to reduce strain on joints.
- Ensure adequate calcium intake.
- Engage in regular exercise to strengthen muscles and support bone health.
- Use supportive footwear and avoid excessive joint strain, especially for those with very active lifestyles.
What are the Risk Factors for Osteoarthritis?
Several factors increase the likelihood of developing osteoarthritis:
Age: Risk increases as people grow older.
Lifestyle: Activities that place heavy strain on specific joints elevate risk.
Obesity: Excess weight increases pressure on joints.
Bone Structure: Individuals with deformed bones are more susceptible.
Gender: Women are more likely than men to develop the condition.
Heredity: Family history can also play a role.
